Composite Bonding - A conservative way to enhance your smile
Composite Veneers (Composite Bonding)
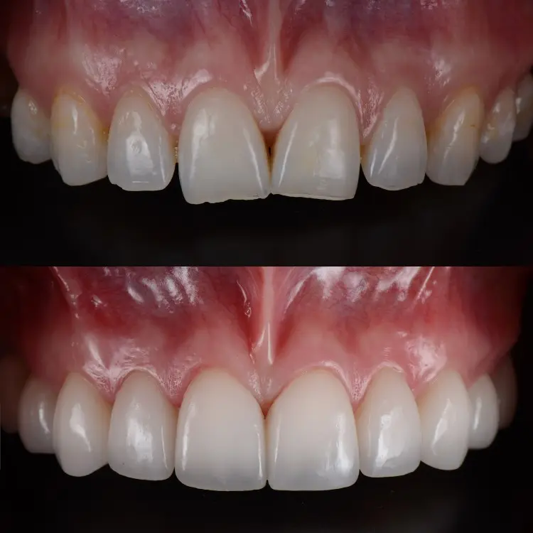
Composite veneers are a simple and comfortable way to enhance your smile. A tooth-coloured resin is gently bonded to the front of your teeth, then shaped and polished so it looks natural and blends beautifully with your smile. Because everything is done in the dental chair, composite veneers can often be completed in just one visit.
They’re a lovely option for:
Closing small spaces between teeth
Smoothing out chips or uneven edges
Making teeth look more even or symmetrical
Brightening the overall appearance of your smile
Composite veneers are usually minimally invasive, meaning very little (if any) tooth enamel needs to be removed. They’re also more affordable than porcelain veneers, making them a great starting point for many people looking to refresh their smile.
Composite Veneers vs Porcelain Veneers
Both composite and porcelain veneers improve the appearance of teeth, but they differ in durability, cost, and how they’re made.
Porcelain veneers are custom-crafted in a dental laboratory and are ideal when you’re after a more dramatic or long-lasting smile transformation. Porcelain is very strong and resists staining extremely well.
Composite veneers, on the other hand, are artistically shaped by your dentist directly onto your teeth in one appointment. They’re more cost-effective and conservative but may require more maintenance over time.
| Composite Veneers | Porcelain Veneers | |
|---|---|---|
| Appointments | Usually one visit | Two to three visits |
| Preparation | Minimal | Slight enamel shaping may be needed |
| Stain Resistance | Can stain over time | Highly stain-resistant |
| Durability | Moderate | Very strong and long-lasting |
| Cost | More affordable | Higher investment |
If you’re unsure which option is best, we’ll guide you through the pros and cons based on your lifestyle, goals, and smile.
Sometimes Braces or Clear Aligners Are Better
If your teeth are quite misaligned, veneers alone may not give the best result. In these cases, orthodontic treatment (like braces or clear aligners) can gently move your teeth into a better position first. We’ll talk you through all options so you can feel confident in your choice.
How Long Do Veneers Last?
Porcelain veneers can last 15–20 years or longer with good care.
Composite veneers generally last around 4–8 years before needing touch-ups or replacement.
Your eating habits, brushing routine, and regular dental check-ups all play an important role in how long they last.
Caring for Your Veneers
Taking care of veneers is much like caring for your natural teeth:
Brush twice daily with a gentle, non-abrasive toothpaste
Floss every day
Visit your dentist regularly for check-ups and cleans
Composite veneers may stain more easily, so try to limit tobacco, coffee, red wine and tea where possible — or enjoy them with a rinse of water afterwards.
Cost of Veneers
Every smile is unique, which means costs vary depending on your individual needs and how many teeth are being treated. During your consultation, we’ll talk through your goals and provide a clear, personalised treatment plan so you know exactly what to expect.
Take the first step toward a confident, radiant smile — book a consultation today!
Click here to view our Smile Gallery.
